现如今
「 近视 」似乎已经成为了
可能是自己,也可能是身边的人
但不管度数高和低
只要拥有眼镜
近视对于生活的影响
好像也就没有那么大了……
“ 真的是这样吗?”
今天我们就一起来看看~
01、近视会让眼睛失明吗?
答:有可能!


由于眼轴被拉伸、眼球后极部扩张等,将会发生一系列眼部组织的病理变化,容易导致眼球结构变形、视网膜变薄、视网膜供血不足等问题,引发不可逆的致盲病。
02、近视多少度眼睛会瞎掉?

但是!!!
600度就是一个分水岭!

高度近视不仅意味着视力的大幅下降,更重要的是,它会导致眼球结构和功能的显著变化,从而增加多种致盲性疾病的风险:
高度近视可能引发的致盲眼病
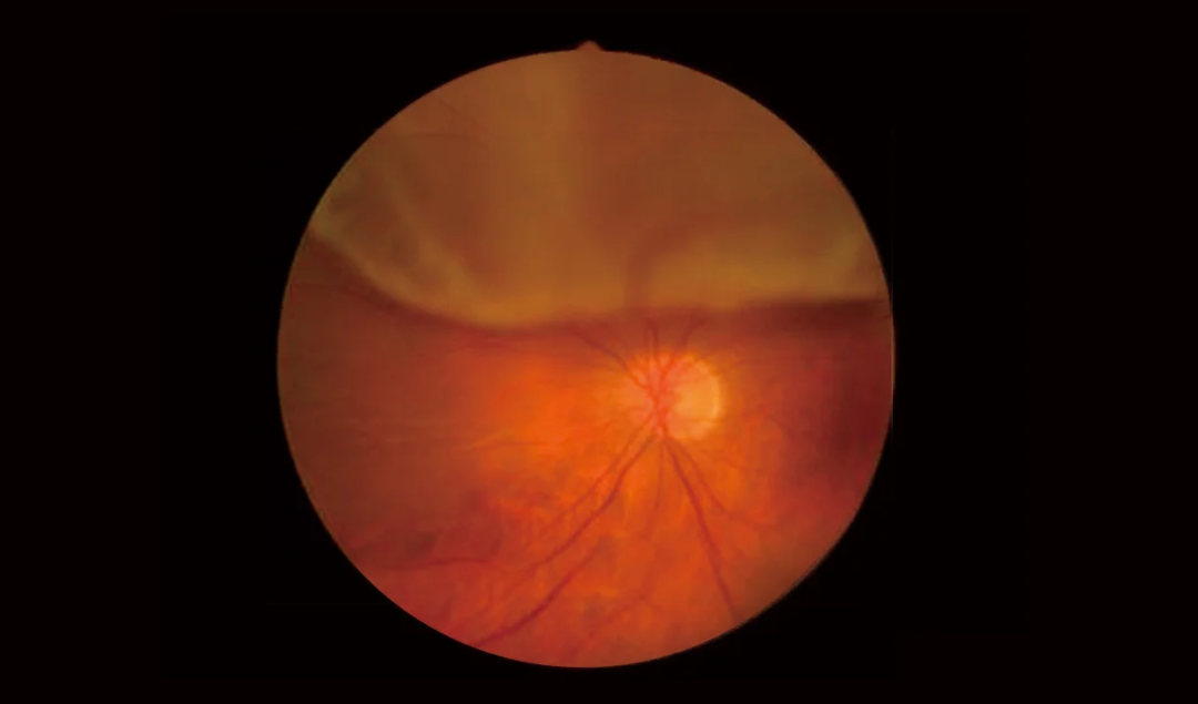
视网膜脱离
高度近视患者的眼球会明显增长,导致视网膜被拉伸变薄,增加了视网膜裂孔和脱离的风险。
视网膜脱离是一种严重的致盲性眼病,需要立即治疗以防止永久性视力丧失。据统计,高度近视患者中视网膜脱离的发生率显著增加。

黄斑出血和黄斑区病变
高度近视还可能引起黄斑出血,即黄斑区出现网膜下的出血,导致视力急剧下降,出现中间有黑影遮挡的症状。此外,黄斑区还可能长出新生血管,进一步损害视力,这也是高度近视致盲的一个重要原因。
高度近视是青光眼发展的一个危险因素,尤其是在老年人中。细长的眼球可能导致眼睛的引流系统受损,眼内压升高,进而损害视神经,导致视力下降甚至失明。

此外,高度近视还可能引发其他眼部并发症,如斜视、弱视、玻璃体改变(如飞蚊症)、巩膜后葡萄肿等,这些并发症虽然不一定直接导致失明,但也会对视力造成不同程度的损害。

03、儿童青少年如何预防高度近视?
增加户外活动时间
在儿童青少年时期,要增加户外的运动时间,保持每天2小时,也就是说每周要有14小时以上的户外运动,多晒晒自然的阳光,可以比较有效地预防近视的发展。
养成良好的用眼习惯
避免长时间近距离用眼导致视疲劳。

建立屈光发育档案
对于有高度近视遗传家族史的、用眼负荷大的高危人群要重点预防,建议早期建立屈光发育档案,每半年进行一次全面眼健康检查。
度数增长过快使用OK镜
角膜塑形镜,相比于框架眼镜,它对近视防控的效果会比较好。

本站为注册用户提供信息存储空间服务,非“舒视网”编辑上传提供的文章/文字均是注册用户自主发布上传,不代表本站观点,版权归原作者所有,如有侵权、虚假信息、错误信息或任何问题,请及时联系我们,我们将在第一时间删除或更正。
